Brand New Closter Office: Existing Patients (201) 326-0244 | New Patients (201) 254-8507
Brand New Closter Office: Existing Patients (201) 326-0244 | New Patients (201) 254-8507


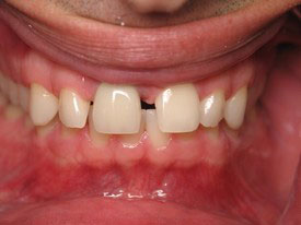
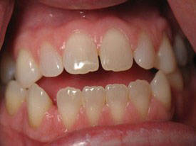
Note: Patients depicted in photos have provided their consent to display their pictures online. Results may vary.


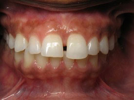
Note: Patients depicted in photos have provided their consent to display their pictures online. Results may vary.


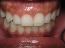
Note: Patients depicted in photos have provided their consent to display their pictures online. Results may vary.


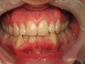
Note: Patients depicted in photos have provided their consent to display their pictures online. Results may vary.


Note: Patients depicted in photos have provided their consent to display their pictures online. Results may vary.
Back to Smile Gallery