Brand New Closter Office: Existing Patients (201) 326-0244 | New Patients (201) 254-8507
Brand New Closter Office: Existing Patients (201) 326-0244 | New Patients (201) 254-8507


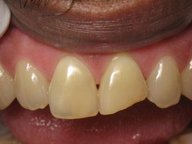
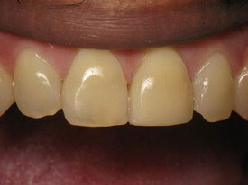
Patient, NB (initials for privacy purposes), was perpetually unhappy with her smile due to the unattractive appearance of her two side teeth (the lateral incisors). So many people leave something like this alone because they fear it will be too expensive and invasive to correct. However, in ONLY one office visit and with no anesthetic, bonding was done to improve the shape and close the spaces of these teeth. One of the great benefits of this type of treatment is that it is an entirely additive and conservative procedure, meaning no tooth structure was removed in order to achieve the results accomplished.
Note: Patients depicted in photos have provided their consent to display their pictures online. Results may vary.


Patient, broke his front tooth in an accident several y ears back and has been uncomfortable with his smile ever since. With the holidays around the corner he decided to finally treat himself to a new smile. And all it took to get that was fixing one tooth. One of the great benefits of this type of treatment is that it is an entirely additive and conservative procedure, meaning no tooth structure was removed in order to achieve the results accomplished.
Note: Patients depicted in photos have provided their consent to display their pictures online. Results may vary.
Back to Smile Gallery