Brand New Closter Office: Existing Patients (201) 326-0244 | New Patients (201) 254-8507
Brand New Closter Office: Existing Patients (201) 326-0244 | New Patients (201) 254-8507


Patient, NB (initials for privacy purposes), was perpetually unhappy with her smile due to the unattractive appearance of her two side teeth (the lateral incisors). So many people leave something like this alone because they fear it will be too expensive and invasive to correct. However, in ONLY one office visit and with no anesthetic, bonding was done to improve the shape and close the spaces of these teeth. One of the great benefits of this type of treatment is that it is an entirely additive and conservative procedure, meaning no tooth structure was removed in order to achieve the results accomplished.
Note: Patients depicted in photos have provided their consent to display their pictures online. Results may vary.


Patient, broke his front tooth in an accident several y ears back and has been uncomfortable with his smile ever since. With the holidays around the corner he decided to finally treat himself to a new smile. And all it took to get that was fixing one tooth. One of the great benefits of this type of treatment is that it is an entirely additive and conservative procedure, meaning no tooth structure was removed in order to achieve the results accomplished.
Note: Patients depicted in photos have provided their consent to display their pictures online. Results may vary.


Note: Patients depicted in photos have provided their consent to display their pictures online. Results may vary.


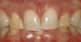
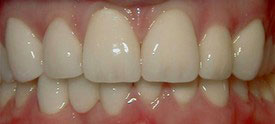
Before: Patient unhappy with six Upper Anterior teeth. The edges are uneven, the gumline is uneven on the two central incisors, and the color/shade is not uniform. The two lateral incisor teeth have been previously restored and are poorly shaped. After: Smile restored with 6 Upper Anterior Crowns that are properly shaped, gumline is uniform, and color/shade is the same for all 6 incisor teeth.
Note: Patients depicted in photos have provided their consent to display their pictures online. Results may vary.


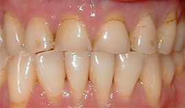
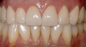
Before: Patient needs Upper Arch Rehabilitation. Presents with Upper Anterior teeth that are stained, incisal edges (tooth edge) are worn down and chipped, and gumline recession is present. After: Smile restored with placement of 8 Upper All Porcelain Crowns (Caps). Gumline and incisal edges are now uniform. Patient now has longer, better shaped teeth to enhance the smile line and aid in chewing/biting function.
Note: Patients depicted in photos have provided their consent to display their pictures online. Results may vary.
Back to Smile GalleryCosmetic dentistry offers solutions to improve the look of teeth that are stained, discolored, chipped, worn down, misshapen, a little gapped, or misaligned. It combines the art and science of dentistry to transform a less-than-perfect smile into one that looks naturally beautiful while at the same time enhancing overall facial aesthetics.
The great thing about cosmetic dentistry is that it offers multiple solutions to quickly improve the look of one’s smile. It all depends on your specific dental needs and cosmetic smile goals. While procedures such as teeth-whitening, tooth-colored fillings, and dental bonding typically provide dramatic improvements in just a single visit, others such as dental veneers only take a couple of visits.
A teeth whitening procedure as provided by our office is often the simplest, quickest, and most effective way to significantly lighten and brighten your smile.
Porcelain veneers are capable of concealing a range of imperfections, dramatically improving the look of teeth that are misshapen, have minor chips, enamel defects, or stains. They also provide an excellent solution for closing small gaps as well as addressing other minor alignment issues. While teeth whitening procedures can effectively treat many cases of dental stains or discolorations to produce cosmetically pleasing results, darker stains, as well as specific issues involving the size, shape, and alignment of the teeth, are better addressed with porcelain veneers.
How a back tooth is repaired and restored depends on the extent of the cavity or damage it has sustained. In many cases, a tooth-colored filling is often sufficient to restore the form and function of a back tooth. However, when a significant amount of tooth structure is damaged, or the tooth has had a root canal, it’s often necessary to fabricate a full coverage crown. In this way, the remaining tooth structure is protected from further damage while full function and a natural-looking smile is restored.
Whether or not a chipped or fractured tooth requires a dental crown depends on the extent of the damage. Some minor chips can be addressed with a dental bonding procedure or a veneer. When a significant amount of tooth structure is lost, rebuilding the form and function of the involved tooth may require a full coverage crown.
While conventional dental bridges and dentures offer effective and satisfying ways to rebuild a complete and attractive smile, dental implants represent the most advanced solutions for replacing missing teeth. With dental implants, our office can replace a single tooth or multiple ones to give you a smile that feels, looks, and functions like a natural one. Dental implants behave in much the same way as the root of an actual tooth, providing stable, secure, and long-lasting results of care.
How long your teeth whitening lasts depends on your lifestyle. Eating, drinking, and smoking habits can have a big impact on maintaining your result. Our office will inform you which food, beverages, or habits can stain your newly whitened smile. As needed, we’ll also help you maintain a white and vibrant smile with a periodic, safe, and effective touch-up whitening procedure.
At the office of Prosmiles General and Cosmetic Dentistry, we want every patient to enjoy the benefits of a beautiful and healthy smile. We strive to make dental care affordable and accessible. Improving the look of your smile is a worthwhile investment, and we always try to optimize any dental insurance benefits to cover your work. However, it’s essential to keep in mind that cosmetic dental procedures may not be covered by your plan. You can count on our office to explain every cosmetic option available to address your needs and the fees involved. To help you begin care without any additional stress or delay, we can discuss different payment options and financing plans.
Although achieving aesthetically pleasing and long-lasting results of care requires knowledge, experience, and technical proficiency, it also calls for a professional with an artistic eye and awareness of facial aesthetics. At the office of Prosmiles General and Cosmetic Dentistry, we successfully combine the art and science of dentistry to create smiles that are as beautiful as they are healthy. From performing professional teeth whitening procedures, fabricating custom dental veneers or crowns to rebuilding complete and beautiful smiles with dental implants and much more, we’re well equipped to transform less-than-perfect smiles into ones that look good and feel great.